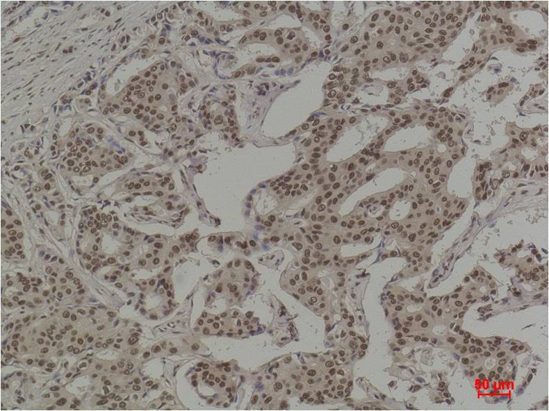
COX2/Cyclooxygenase 2 Mouse mAb
COX2/Cyclooxygenase 2 Mouse mAb
Prostaglandin-endoperoxide synthase 2, also known as cyclooxygenase-2 or simply COX-2, is an enzyme that in humans is encoded by the PTGS2 gene. There are two isozymes of COX encoded by distinct gene products: a constitutive COX-1 (this enzyme) and an inducible COX-2, which differ in their regulation of expression and tissue distribution. The expression of these two transcripts is differentially regulated by relevant cytokines and growth factors. A splice variant of COX-1 termed COX-3 was identified in the CNS of dogs, but does not result in a functional protein in humans. Two smaller COX-1-derived proteins (the partial COX-1 proteins PCOX-1A and PCOX-1B) have also been discovered, but their precise roles are yet to be described.
Couldn't load pickup availability
Product Details
