1
/
of
3
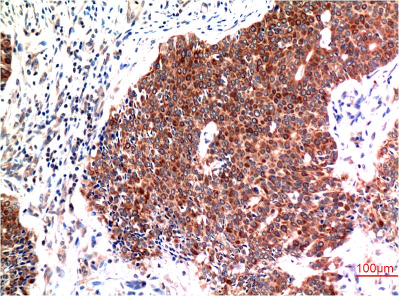
Beclin-1 (5C2) Mouse mAb
Beclin-1 (5C2) Mouse mAb
Autophagy is a catabolic process for the autophagosomic-lysosomal degradation of proteins activated in response to nutrient deprivation and in neurodegenerative conditions. One of the proteins critical to this process is Beclin-1.
Catalog No:
EM1304
Regular price
$192.00 USD
Regular price
$148.00 USD
Sale price
$192.00 USD
Unit price
/
per
1.5 weeks
Couldn't load pickup availability
Product Details
Application(s)
WB, IHC
Species Reactivity
Human, Rat, Mouse
Source
Murine
Isotype
IgG1
Immunogen
Synthetic Peptide
Concentration
1 mg/mL
Dilution
WB 1:1,000-2,000 IHC 1:100-200
Shipping Condition
Shipped on cold gel packs.
Storage Condition and Shelf Life
PBS with 0.02% sodium azide and 50% glycerol pH 7.4. Store at -20C. Avoid repeated freeze-thaw cycles.
Analyte
Beclin-1
Regulatory Status
For Research Use Only
