1
/
of
1
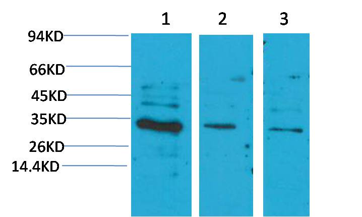
CNTF Polyclonal Antibody (A218)
CNTF Polyclonal Antibody (A218)
CNTF Rabbit Polyclonal Antibody (A218). Isotype: IgG. Species Reactivity: Human, Mouse, Rat. Source: Rabbit. Antigen: Synthetic Peptide. Composition and storage: 1 mg/mL in PBS, pH 7.4, containing 0.02% sodium azide and 50% glycerol. Store at -20C. Stable for one year from the date of shipment.
Catalog No:
RA20222
Regular price
$311.00 USD
Regular price
$239.00 USD
Sale price
$311.00 USD
Unit price
/
per
Couldn't load pickup availability
Product Details
Application(s)
WB
Species Reactivity
Human, Mouse, Rat
Source
Rabbit
Ab Type
Polyclonal
Isotype
IgG
Dilution
WB 1:1,000-2,000
Storage Condition and Shelf Life
1 mg/mL in PBS, pH 7.4, containing 0.02% sodium azide and 50% glycerol. Store at -20C. Stable for one year from the date of shipment.
Analyte
CNTF
Regulatory Status
For Research Use Only
