1
/
of
2
ErbB-2/HER-2 Mouse mAb
ErbB-2/HER-2 Mouse mAb
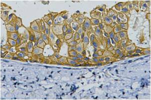
ErbB 2 is a receptor tyrosine kinase of the ErbB 2 family. It is closely related instructure to the epidermal growth factor receptor. ErbB 2 oncoprotein is detectable in a proportion of breast and other adenocarconomas, as well as transitional cell carcinomas. In the case of breast cancer, expression determined by immunohistochemistry has been shown to be associated with poor prognosis.
Catalog No:
EM1045
Regular price
$192.00 USD
Regular price
$148.00 USD
Sale price
$192.00 USD
Unit price
/
per
1.5 weeks
Couldn't load pickup availability
Product Details
Application(s)
WB, IHC
Species Reactivity
Human, Rat, Mouse
Source
Murine
Isotype
IgG1
Immunogen
Synthetic Peptide
Concentration
1 mg/mL
Dilution
WB 1:2,000-4,000 IHC 1:200
Shipping Condition
Shipped on cold gel packs.
Storage Condition and Shelf Life
PBS with 0.02% sodium azide and 50% glycerol pH 7.4. Store at -20C. Avoid repeated freeze-thaw cycles.
Analyte
ErbB-2/HER-2
Regulatory Status
For Research Use Only
