1
/
of
2
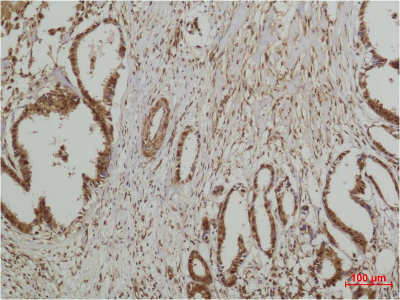
ERK5 Polyclonal Antibody (F140)
ERK5 Polyclonal Antibody (F140)
ERK5 Rabbit Polyclonal Antibody (F140). Isotype: IgG. Species Reactivity: Human, Mouse, Rat. Source: Rabbit. Antigen: Recombinant Protein. Composition and storage: 1 mg/mL in PBS, pH 7.4, containing 0.02% sodium azide and 50% glycerol. Store at -20C. Stable for one year from the date of shipment.
Catalog No:
RA20123
Regular price
$311.00 USD
Regular price
$239.00 USD
Sale price
$311.00 USD
Unit price
/
per
Couldn't load pickup availability
Product Details
Application(s)
WB, IHC
Species Reactivity
Human, Mouse, Rat
Source
Rabbit
Ab Type
Polyclonal
Isotype
IgG
Dilution
WB 1:1,000-2,000 IHC 1:200-500
Storage Condition and Shelf Life
1 mg/mL in PBS, pH 7.4, containing 0.02% sodium azide and 50% glycerol. Store at -20C. Stable for one year from the date of shipment.
Analyte
ERK5
Regulatory Status
For Research Use Only
