1
/
of
2
GAP43 Mouse mAb
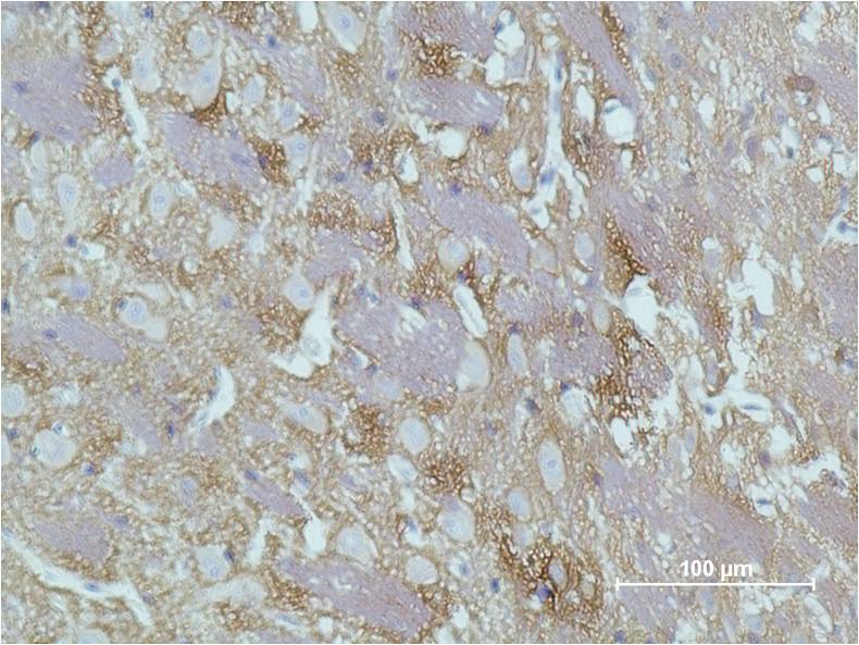
GAP43 Mouse mAb
Growth Associated Protein 43 also known as GAP43 is a protein that in humans is encoded by the GAP43 gene. GAP43, is a nervous tissue-specific cytoplasmic protein that can be attached to the membrane via a dual palmitoylation sequence on cysteines 3 and 4. This sequence targets GAP43 to lipid rafts.
Catalog No:
EM1181
Regular price
$192.00 USD
Regular price
$148.00 USD
Sale price
$192.00 USD
Unit price
/
per
1.5 weeks
Couldn't load pickup availability
Product Details
Application(s)
WB, IHC
Species Reactivity
Human, Rat, Mouse
Source
Murine
Isotype
IgG1
Immunogen
Recombinant Protein
Concentration
1 mg/mL
Dilution
WB 1:1,000-2,000 IHC 1:200-500
Shipping Condition
Shipped on cold gel packs.
Storage Condition and Shelf Life
PBS with 0.02% sodium azide and 50% glycerol pH 7.4. Store at -20C. Avoid repeated freeze-thaw cycles.
Analyte
GAP43
Regulatory Status
For Research Use Only
