1
/
of
1
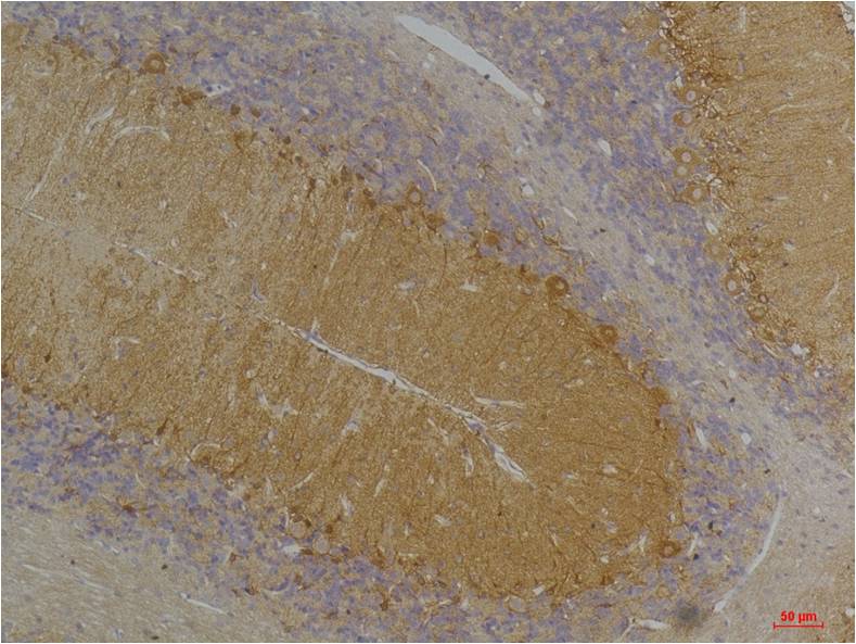
KCNN3 (SK3) Polyclonal Antibody (A246)
KCNN3 (SK3) Polyclonal Antibody (A246)
KCNN3 (SK3) Rabbit Polyclonal Antibody (A246). Isotype: IgG. Species Reactivity: Human, Rat. Source: Rabbit. Antigen: Synthetic Peptide. Composition and storage: 1 mg/mL in PBS, pH 7.4, containing 0.02% sodium azide and 50% glycerol. Store at -20C. Stable for one year from the date of shipment.
Catalog No:
RA20244
Regular price
$311.00 USD
Regular price
$239.00 USD
Sale price
$311.00 USD
Unit price
/
per
Couldn't load pickup availability
Product Details
Application(s)
IHC
Species Reactivity
Human, Rat
Source
Rabbit
Ab Type
Polyclonal
Isotype
IgG
Dilution
IHC 1:100-200
Storage Condition and Shelf Life
1 mg/mL in PBS, pH 7.4, containing 0.02% sodium azide and 50% glycerol. Store at -20C. Stable for one year from the date of shipment.
Analyte
KCNN3
Regulatory Status
For Research Use Only
