1
/
of
2
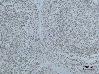
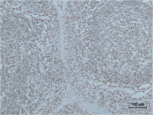
PARP Mouse mAb
PARP Mouse mAb
Poly [ADP-ribose] polymerase 1 (PARP-1) also known as NAD+ ADP-ribosyltransferase 1 or poly[ADP-ribose] synthase 1 is an enzyme that in humans is encoded by the PARP1 gene. PARP1 has a role in repair of single-stranded DNA (ssDNA) breaks. Knocking down intracellular PARP1 levels with siRNA or inhibiting PARP1 activity with small molecules reduces repair of ssDNA breaks. In the absence of PARP1, when these breaks are encountered during DNA replication, the replication fork stalls, and double-strand DNA (dsDNA) breaks accumulate.
Catalog No:
EM1131
Regular price
$192.00 USD
Regular price
$148.00 USD
Sale price
$192.00 USD
Unit price
/
per
1.5 weeks
Couldn't load pickup availability
Product Details
Application(s)
WB, IHC
Species Reactivity
Human
Source
Murine
Isotype
IgG1
Immunogen
Synthetic Peptide
Concentration
1 mg/mL
Dilution
WB 1:1,000-3,000 IHC 1:200-500
Shipping Condition
Shipped on cold gel packs.
Storage Condition and Shelf Life
PBS with 0.02% sodium azide and 50% glycerol pH 7.4. Store at -20C. Avoid repeated freeze-thaw cycles.
Analyte
PARP
Regulatory Status
For Research Use Only
