1
/
of
3
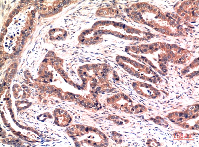
Phospho-Akt (S473) (6F8) Mouse mAb
Phospho-Akt (S473) (6F8) Mouse mAb
Akt, is a serine/threonine-specific protein kinase that plays a key role in multiple cellular processes such as glucose metabolism, apoptosis, cell proliferation, transcription and cell migration. Akt1 is involved in cellular survival pathways, by inhibiting apoptotic processes. Akt1 is also able to induce protein synthesis pathways, and is therefore a key signaling protein in the cellular pathways that lead to skeletal muscle hypertrophy, and general tissue growth.
Catalog No:
EM1269
Regular price
$192.00 USD
Regular price
$148.00 USD
Sale price
$192.00 USD
Unit price
/
per
1.5 weeks
Couldn't load pickup availability
Product Details
Application(s)
WB, IHC
Species Reactivity
Human
Source
Murine
Isotype
IgG1
Immunogen
Synthetic Peptide
Concentration
1 mg/mL
Dilution
WB 1:1,000-2,000Â Â Â IHC 1:100-200
Shipping Condition
Shipped on cold gel packs.
Storage Condition and Shelf Life
PBS with 0.02% sodium azide and 50% glycerol pH 7.4. Store at -20C. Avoid repeated freeze-thaw cycles.
Analyte
Phospho-Akt
Regulatory Status
For Research Use Only
