Skip to product information
1 of 3

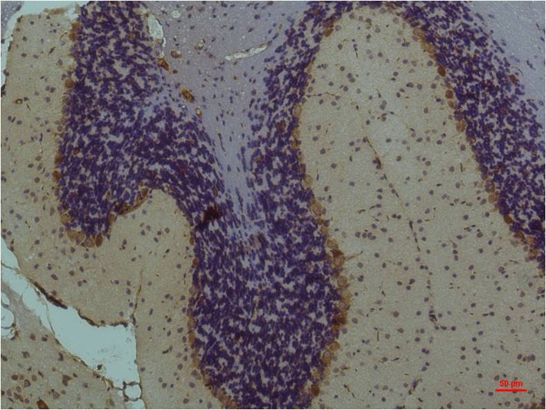
STAT3 Mouse mAb

STAT3 Mouse mAb

Signal transducer and activator of transcription 3, also known as STAT3, is a transcription factor which in humans is encoded by the STAT3 gene. Stat3 is constitutively activated in a number of human tumors and possesses oncogenic potential and anti-apoptotic activities.

Catalog No: EM1207
Regular price $192.00 USD
Regular price $148.00 USD Sale price $192.00 USD
Sale Sold out
Packaging
1.5 weeks
Download PDF

Product Details

Application(s) WB, IHC
Species Reactivity Human, Rat, Mouse
Source Murine
Isotype IgG1
Immunogen Recombinant Protein
Concentration 1 mg/mL
Dilution WB 1:1,000-2,000    IHC  1:100-200
Shipping Condition Shipped on cold gel packs.
Storage Condition and Shelf Life PBS with 0.02% sodium azide and 50% glycerol pH 7.4. Store at -20C. Avoid repeated freeze-thaw cycles.
Analyte STAT3
Regulatory Status For Research Use Only
View full details

Inquire about this product