1
/
of
2
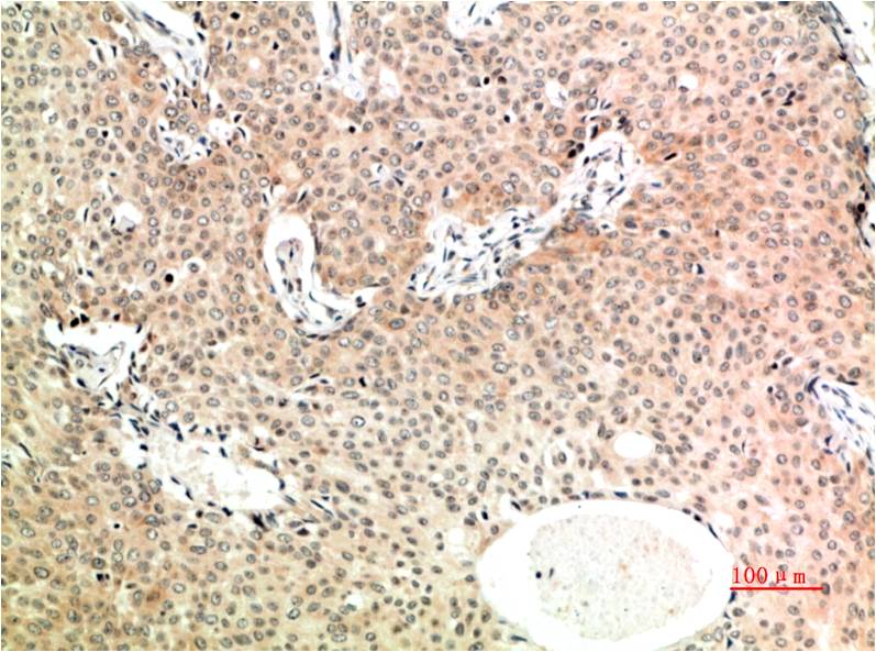
TGFBeta1 Monoclonal Antibody (4B9)
TGFBeta1 Monoclonal Antibody (4B9)
TGFBeta1 Mouse Monoclonal Antibody (4B9). Isotype: IgG1. Species Reactivity: Human, Mouse, Rat. Source: Mouse. Antigen: Synthetic Peptide. Composition and storage: 1 mg/mL in PBS, pH 7.4, containing 0.02% sodium azide and 50% glycerol. Store at -20C. Stable for one year from the date of shipment.
Catalog No:
RA10171
Regular price
$311.00 USD
Regular price
$239.00 USD
Sale price
$311.00 USD
Unit price
/
per
Couldn't load pickup availability
Product Details
Application(s)
WB, IHC
Species Reactivity
Human, Mouse, Rat
Source
Mouse
Ab Type
Monoclonal
Isotype
IgG1
Dilution
WB 1:1,000-2,000 IHC 1:100-200
Storage Condition and Shelf Life
1 mg/mL in PBS, pH 7.4, containing 0.02% sodium azide and 50% glycerol. Store at -20C. Stable for one year from the date of shipment.
Analyte
TGFBeta1
Regulatory Status
For Research Use Only
